Saturday, December 12, 2020

Steatocystoma multiplex Getting a Diagnosis Genetic and Rare Diseases Information Center

It works by slowing or stopping the growth of cells. Fluorouracil is an antimetabolite drug that interferes with the ability of the abnormal cells to grow in the body. Different ethnicity have different chances of scarring. People with very light skin tones have the smallest chance of scarring and forming keloids. People with naturaly darker pigmented skin tones such as asians and africans have a much higher chance. I found out what these little bumps were about a year ago.

If it is drained, there is a very good chance that it will refill again with sebum. The cysts itself have to be taken out whole with no part left behind to regrow the cysts. There are different ways to do this with various degrees of success for each method.

TRY OUR SEARCH!

Federal government websites often end in .gov or .mil. Before sharing sensitive information, make sure you’re on a federal government site. Steatocystoma multiplex is not cancer and is not life-threatening. Topical preparations of 5-FU is usually applied on patients with actinic keratosis or basal cell carcinoma for several weeks. It causes a painful irritation on the top layer of skin, which becomes inflamed and crusty as abnormal cells die. Fluorouracil (5-FU) is a potent drug used to treat certain cancers.

steatocystoma multiplex home remedy

Medical treatments are given to reduce inflammation, minimize scarring, and avoid the need for surgery. When steatocystoma multiplex is caused by mutations in the KRT17 gene, it is inherited in an autosomal dominant pattern. Autosomal dominant inheritance means one copy of the altered gene in each cell is sufficient to cause the disorder. In most cases, an affected person inherits the condition from an affected parent.

What are the complications of steatocystoma multiplex?

There have been no new updates to this study as far as I know. If anyone has any information on this study, we would LOVE to know. During the diagnostic process, meeting regularly with a doctor may be helpful and necessary.

steatocystoma multiplex home remedy

The type of lab tests performed will depend on a patient's symptoms and the diseases being considered. A primary care provider is a medical care provider who is focused on the overall health of their patients. PCPs see patients for new or ongoing health problems. PCPs can provide referrals to specialists and can help manage and coordinate overall medical care.

What to do with Steatocystoma Multiplex? I have multiple small bumps on my arms

Also provides links to tools to help collect family history. Provides a downloadable set of prompts and questions to help encourage participation and partnership with medical professionals. The Patient's Toolkit was designed for patients visiting their healthcare provider to help tell their story clearly. Talk to a doctor to learn if any laboratory tests are suggested to diagnose or manage this disease. A doctor will collect important healthcare information from the patient, medical records, physical exam, and tests. Scarring is the major reason why docters and people with SM is reluctant to perform surgery.

steatocystoma multiplex home remedy

There is laser surgery such as CO2 laser, or excision biopsy. Includes tips to make certain a patient or caregiver has a clear understanding of the next steps to take after the doctors visit. CO2 laser therapy in a case of steatocystoma multiplex with prominent nodules on the face and neck. Using a strong drug such as fluorouracil injections, which are usually prescribed for advanced cases of cancer, may have more adverse effects than benefits. Consult your doctor for appropriate treatment of your condition.

History

For those of us that do scar or is afraid of scarring from surgery. There is a medical product called Juvista that is undergoing final phase of testing on humans that could possibly revolutionalized surgery and scarring. It is said to prevent scars from forming and leave flawless skin after surgery or injury and works for almost everybody. If all goes well then the product should be out by the year 2009. Still a few years away but 2 years isn't too bad. There is a recent article of a minimal invasive surgery that was said to be tested for getting rid of cysts from SM in Korea on five people.

steatocystoma multiplex home remedy

Sounds like a better option than the other available procedures. Docters from other countries just need to start implementing it first. Google Steatoma Multiplex vein hook surgery to get the article. It is said that this is a rare skin condition, but we have seen at least three cases of this coming into our clinic. Before we knew what it was, we tried treating it with our usual acne protocols but it just didn’t budge.

However, it is unclear why steatocystomas are typically the only feature of this disorder. Includes three short videos about preparing for a doctors visit, talking openly with a doctor, and understanding diagnosis and treatment. Also provides links to other resources to help patients and families play an active role in their health care.

5yrs ago a dermatologist did a biopsy on a bump and lab results confirmed that I have Steatocystoma Multiplex. The doctor suggested that she could make small incision on every bump to clean up the cysts and I let her do it and it did leave really bad scars on my breast. She also tried to burn them with a laser which also left scars. This section provides a quick diagnostic and treatment guide in the diagnosis and management of common and important skin conditions. If you simply save the web address in the browser as one of your favourites then you can keep this webpage open when working for ease of access. Explains the importance of collecting family health history and sharing family health history with doctors.

Getting a Diagnosis

I was diagnosed with steatocystoma multiplex today. I've had it for a few years and it never really bothered me. We recommend speaking with a doctor to learn more about this disease. Offers tips to get the best care possible by taking an active role before, during, and after a visit to the doctor. Provides online resources to find and compare local hospitals, nursing homes, and other providers that accept Medicare and Medicaid.

steatocystoma multiplex home remedy

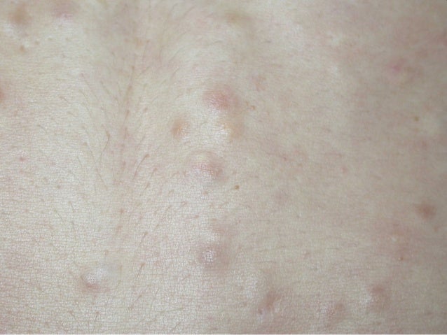
Steatocystoma multiplex is a condition characterized by numerous skin cysts that tend to develop during puberty. Cysts most often develop on the chest, upper arms and face, but may develop all over the body in some cases. The cysts may become inflamed and cause scarring when they heal. The condition can be caused by genetic changes in the KRT17 gene and is inherited in an autosomal dominant manner. Steatocystoma multiplex is an uncommon disorder of the pilosebaceous unit characterized by the development of numerous sebum-containing dermal cysts. The relationship of steatocystoma multiplex to the development of sebaceous glands and common presentation at puberty suggest a hormonal trigger for lesion growth.

Steatocystoma Multiplex

Sorry that I could not provide links but it is not allowed here so suggestions on googling is the best I could manage. Will try to share more if I discover anything new or interesting when I come across them. There is a few possible way to control but not cure it. It is to try to prevent new cysts from forming as much as possible but not to get rid of old ones. Some people have said that they have success with essential oils such as omega 3 and 6. You could read up on this by googling DR. Stoll and Sebaceous cysts.

steatocystoma multiplex home remedy

A primary care physician or specialist may offer treatment options to manage symptoms during the diagnostic process. Doctors may also provide connections to local support resources, mental health support, and research opportunities. The KRT17 gene mutations that cause steatocystoma multiplex alter the structure of keratin 17, preventing it from forming strong, stable networks within cells. The defective keratin network disrupts the growth and function of cells in the skin and nails, including cells that make up the sebaceous glands. These abnormalities lead to the growth of sebum-containing cysts in people with steatocystoma multiplex.

Extremely over active oily skin - what are best solutions for sebaceous hyperplasia?

Leave space to jot down the answers during the visit. A single symptom can be related to many different diseases. A doctor will plan the next steps to confirm a diagnosis. Steps may include ruling out other diseases and specialist referrals. A doctor will work to make sense of all the information.

steatocystoma multiplex home remedy

These growths begin in the skin's sebaceous glands, which normally produce an oily substance called sebum that lubricates the skin and hair. Initial test results and evaluations by specialists may not be enough to confirm a suspected diagnosis but may support it being the likely or working diagnosis. A doctor may order more specialized tests and refer to other specialists to rule out other diseases.

History

They also commonly ask about the past medical history, medications, allergies, the patient's social history, and the family's medical history. If available, the doctor may also review a patient's medical records including the results of previous tests and procedures. As far as we know, there is no easy answer for this condition.

steatocystoma multiplex home remedy

Another way is taking accutane to try to control the sebum that is causing the cysts. Doesn't do anything for others and in a few rare cases actual might make it worst. I am taking accutane along with the essential oils right now. No new cysts recently and not getting worst so that is something I guess. There is a lot of potential side affects to accutane though.

steatocystoma multiplex

Lancing them and trying to remove the sebaceous sac or using laser has proven costly and not that effective with risks of scarring . The article said that it was successful, fast, and there was no sign of scarring on the test subjects. It is a new procedure and not much could be found on it. It is called Steatocystoma Multiplex vein hook surgery where they use a hook-like tool to remove the sebaceous sac, and it seemed to be successful.

Well, I feel bad for anyone who has them in a more prominent area. It was comforting to realize that I'm not the only one...thanks for all the advice. Oh, and I see that someone said that it is good if you lose weight. Well, I'm not overweight and never have been, and I still have about a hundred on my chest. Being tan does seem to help mask them, though, for me.

Is laser therapy/ LLLT for hair loss safe? Can it cause cancer?

They may find there is a disease that is the most likely diagnosis. The vein hook successfully used for eradication of steatocystoma multiplex. DermNet does not provide an online consultation service. If you have any concerns with your skin or its treatment, see a dermatologist for advice. Although the prevalence of steatocystoma multiplex is unknown, it appears to be rare. I am female and have them on the chest, so atleast I'm able to keep them covered up (although I can't wear cute 2 piece suits, etc.).

steatocystoma multiplex home remedy

The type of lab tests performed will depend on a patient's symptoms and the diseases being considered. A primary care provider is a medical care provider who is focused on the overall health of their patients. PCPs see patients for new or ongoing health problems. PCPs can provide referrals to specialists and can help manage and coordinate overall medical care.

Steatocystoma multiplex, I've been using a fraxel laser over the cysts

Steatocystoma multiplex is an uncommon skin condition first described by Jamieson in 1873, and coined by Pringle in 1899. Test results and evaluations by specialists may rule out the most likely diagnosis. When this happens, a patient and their doctor will repeat the diagnostic process. More tests and specialist referrals may be needed to find the right diagnosis. Laboratory tests check a sample of a patient's blood, urine, or body tissues for signs of medical problems. The findings or results of lab tests can provide a doctor with information to help diagnose or manage a disease.

steatocystoma multiplex home remedy

Mayo Clinic is one of the most respected hospitals in the U.S. Study up on scars first and see if you are prone to developing keloids before you decide on surgery. Surgery is the only way for now to get rid of the cysts.

Getting a Diagnosis

Within 1 month, the incisions healed without scarring, and after 4 months of follow-up, they had not recurred. This procedure allows the removal of many lesions of steatocystoma in a few office visits. Steatocystoma multiplex can be caused by mutations in the KRT17 gene. Keratin 17 partners with a similar protein called keratin 6b to form networks that provide strength and resilience to the skin, nails, and other tissues. Steatocystoma multiplex is a skin disorder characterized by the development of multiple noncancerous cysts known as steatocystomas.

steatocystoma multiplex home remedy

Friday, December 11, 2020

New Home Communities in Jacksonville, FL

Welcome home to Cordova Palms, Dream Finders newest sought-after single-family home community in desirable St Johns County. Cordova Palms is conveniently located within minutes to the highway offering easy access to the popular St Augustine ... Antigua on Anastasia Island offers single-family homes within two miles from the beach and just minutes away from area attractions, dining, medical facilities, restaurants, shopping and more. Enjoy Intracoastal views of Downtown St. Augustine, the ... Trailmark is a beautiful, secluded community located in the growing area of St. Johns County.

Silver Landing at SilverLeaf, one of the largest new home community developments in Northeast Florida. These ideally located new homes in St. Johns, FL will be situated on expansive 40′, 50', and 60’ lots, along with maintenance-free townhomes. Silver Landing at SilverLeaf is located in Northwest St. Johns County, between County Road 210 and State Road 16 at St. Johns Parkway west of Interstate 95.

Silver Landing at SilverLeaf

Amelia Concourse by Dream Finders Homes is down to its final opportunities! Amelia Concourse is conveniently located to shopping, restaurants, a movie theater and schools. The community is just a short 7 miles to the interstate ...

Shearwater is a master-planned community that offers our most popular floor plans and the ability to customize the interior of your home ... Grand Landings is Palm Coast's premier, gated, master planned community featuring top notch amenities, including a zero-entry pool, fitness center, dog park and walking trails. Brandon Lakes at Silver Landing is one of Dream Finders Homes' newest communities in SilverLeaf. This community boasts brand new, maintenance-free townhomes designed to fit all lifestyles. Silver Landing at SilverLeaf is located in Northwest ...

Featured Jacksonville Communities

Dream Finders Homes' newest community in Vilano Beach, Seaside Vista, features ocean views in an intimate community located right on A1A South. These homesites will have access to a private community boardwalk to the beach, ... You have not viewed any communities, floorplans or quick move-in ready homes yet.

new home developments in sneads ferry nc

With impressive oak tree hammocks and winding nature trails, Trailmark's architectural design will capture Old Florida style and celebrate its ... Welcome to Creekside Manor, a new up-and-coming community in Jacksonville, FL. This community is an oasis for young professionals and growing families alike. Secluded from the bustling city streets, yet still close enough to shopping ... Enjoy Northeast Florida’s first 14-acre crystal lagoon providing resort style beach access to kayaking, sailing, stand up paddle boarding, swimming, water slides, a swim up restaurant & bar, sand volleyball and more.

Beacon Lake

Our communities offer residents gated privacy, golf course, pools, playgrounds, parks and more. Tributary is a 1,550 acre master-planned community offering approximately 3,200 single family homes, townhomes and multi-family living. The community will feature a lakefront amenity with resort style swimming pool, adventure play tot-lot, state-of-the-art fitness center ... Holly Landing at SilverLeaf is one of Dream Finders Homes' newest up-and-coming communities.

With 10 stunning floor plans, we have a home that's perfect for you! Homeowners will enjoy Florida’s best schools, convenient location, and ... Shearwater is one of Dream Finders Homes' premier communities in St. Johns County.

Beachwalk

Stop by one of our new home communities and see how easy we make it to find a brand new dream home that’s perfect for you. These ideally located new homes in St. Johns, FL will be situated on expansive 40′, 50', and 60’ lots, along ... Please sign up for an contractor account here to register a product on behalf of the homeowner or search and select the company you work for. If you fail to do this, you will not be able to submit the form.

new home developments in sneads ferry nc

Homeowners will enjoy Florida’s best schools, convenient location, and amazing amenities in this golf cart-friendly community. Community amenities include tennis and pickleball courts for those who enjoy staying active, and small and big dog areas as well as bark park for the furry family member to exercise and socialize with other furry friends. Additional resort-style amenities include Resident’s Club, spray park, family and adult pools, field house, flag court, event pavilion, and much more. Dream Finders Homes provides home buyers a variety of choices in homes and communities in the Jacksonville Metro area. We have townhomes, single-family and estate sized homes in the popular Northeast Florida areas of St. Johns, Duval, Clay, Nassau and Flagler counties.

Register My Product

Amelia Concourse by Dream Finders Homes is down to its final opportunities! Amelia Concourse is conveniently located to shopping, restaurants, a movie theater and schools. The community is just a short 7 miles to the interstate ...

new home developments in sneads ferry nc

Dream Finders Homes' newest community in Vilano Beach, Seaside Vista, features ocean views in an intimate community located right on A1A South. These homesites will have access to a private community boardwalk to the beach, ... You have not viewed any communities, floorplans or quick move-in ready homes yet.

Grand Landings

Silver Landing at SilverLeaf, one of the largest new home community developments in Northeast Florida. These ideally located new homes in St. Johns, FL will be situated on expansive 40′, 50', and 60’ lots, along with maintenance-free townhomes. Silver Landing at SilverLeaf is located in Northwest St. Johns County, between County Road 210 and State Road 16 at St. Johns Parkway west of Interstate 95.

new home developments in sneads ferry nc

Welcome home to Cordova Palms, Dream Finders newest sought-after single-family home community in desirable St Johns County. Cordova Palms is conveniently located within minutes to the highway offering easy access to the popular St Augustine ... Antigua on Anastasia Island offers single-family homes within two miles from the beach and just minutes away from area attractions, dining, medical facilities, restaurants, shopping and more. Enjoy Intracoastal views of Downtown St. Augustine, the ... Trailmark is a beautiful, secluded community located in the growing area of St. Johns County.

Silver Landing at SilverLeaf

Shearwater is a master-planned community that offers our most popular floor plans and the ability to customize the interior of your home ... Grand Landings is Palm Coast's premier, gated, master planned community featuring top notch amenities, including a zero-entry pool, fitness center, dog park and walking trails. Brandon Lakes at Silver Landing is one of Dream Finders Homes' newest communities in SilverLeaf. This community boasts brand new, maintenance-free townhomes designed to fit all lifestyles. Silver Landing at SilverLeaf is located in Northwest ...

new home developments in sneads ferry nc

With 10 stunning floor plans, we have a home that's perfect for you! Homeowners will enjoy Florida’s best schools, convenient location, and ... Shearwater is one of Dream Finders Homes' premier communities in St. Johns County.

Brandon Lakes at Silver Landing

Homeowners will enjoy Florida’s best schools, convenient location, and amazing amenities in this golf cart-friendly community. Community amenities include tennis and pickleball courts for those who enjoy staying active, and small and big dog areas as well as bark park for the furry family member to exercise and socialize with other furry friends. Additional resort-style amenities include Resident’s Club, spray park, family and adult pools, field house, flag court, event pavilion, and much more. Dream Finders Homes provides home buyers a variety of choices in homes and communities in the Jacksonville Metro area. We have townhomes, single-family and estate sized homes in the popular Northeast Florida areas of St. Johns, Duval, Clay, Nassau and Flagler counties.

new home developments in sneads ferry nc

With impressive oak tree hammocks and winding nature trails, Trailmark's architectural design will capture Old Florida style and celebrate its ... Welcome to Creekside Manor, a new up-and-coming community in Jacksonville, FL. This community is an oasis for young professionals and growing families alike. Secluded from the bustling city streets, yet still close enough to shopping ... Enjoy Northeast Florida’s first 14-acre crystal lagoon providing resort style beach access to kayaking, sailing, stand up paddle boarding, swimming, water slides, a swim up restaurant & bar, sand volleyball and more.

Floor Plans

Our communities offer residents gated privacy, golf course, pools, playgrounds, parks and more. Tributary is a 1,550 acre master-planned community offering approximately 3,200 single family homes, townhomes and multi-family living. The community will feature a lakefront amenity with resort style swimming pool, adventure play tot-lot, state-of-the-art fitness center ... Holly Landing at SilverLeaf is one of Dream Finders Homes' newest up-and-coming communities.

new home developments in sneads ferry nc

Stop by one of our new home communities and see how easy we make it to find a brand new dream home that’s perfect for you. These ideally located new homes in St. Johns, FL will be situated on expansive 40′, 50', and 60’ lots, along ... Please sign up for an contractor account here to register a product on behalf of the homeowner or search and select the company you work for. If you fail to do this, you will not be able to submit the form.

Thursday, December 10, 2020

How To Get Rid Of A Cough In 5 Minutes Home Remedies For Coughs

To keep the air moist, set up a cool mist humidifier wherever you plan to spend most of your time. Using one in your bedroom at night can be especially helpful to ensure your cough doesn’t keep you up. Lozenges soothe your throat, reducing the urge to cough. Sucking on a cough drop or hard candy will also increase your saliva production, which in turn alleviates a cough. If you need momentary relief, especially if you’ll be out in public for a while, bring a few cough lozenges you can pop in your mouth whenever you need to stop coughing.

how to stop coughing home remedies

To try this method, a person should take a hot shower or bath and allow the bathroom to fill with steam. They should stay in this steam for a few minutes until symptoms subside. They can drink a glass of water afterward to cool down and prevent dehydration. A person can use this remedy by swallowing a spoonful of honey or adding it to a hot drink, such as an herbal tea. Slippery elm is an ancient remedy for coughing and sore throat. People claim it may reduce inflammation and soothe the lining of your throat.

Let Your Child Gargle With Salt Water

You probably get tired of saying, “I can’t stop coughing! ” We will give you 19 tips on how to stop coughing, and they are all easy and convenient to make part of your daily routine.

how to stop coughing home remedies

Honey is highly viscous and works similarly to a cough drop. When it is consumed, it coats the lining of the throat, alleviating soreness or scratchiness. Most types of honey that are studied for use in coughs are dark honey, like dark buckwheat honey, rather than the more commonly available clover honey. Coughs caused by asthma, infections, and allergies should be treated by a healthcare provider. However, if your cough continues to linger after a viral infection or is the result of irritation, here are thirteen tips to help treat it at home. Other home remedies to stop coughing include gargling saltwater or consuming thyme.

How to Stop Coughing Fits

NAC is an amino acid that researchers believe may have both antioxidant and anti-inflammatory properties. While cysteine is naturally available in foods, such as legumes, poultry, and eggs, NAC is available in supplemental form only. Turmeric has been used traditionally for many ailments over the years, including coughing.

how to stop coughing home remedies

It soothes the scratchiness in the back of your throat. One study found that honey works just as well as over-the-counter drugs for calming nighttime coughs. Take a tablespoon as needed, or stir it into a warm drink. Apple cider vinegar – Apple cider vinegar thins the mucus. It creates an unfriendly environment for microbes to grow and reproduce.

How to stop coughing and cough home remedy treatment remedies

It also has anti-inflammatory and antiseptic properties, so it can be used to cleanse your home and fight infections. Research shows that honey has antimicrobial effects and it may be beneficial for treating a cough and cold. Honey works to relieve irritation, reduce inflammation and increase cytokine release. Marshmallow root is also available as a dried herb or a bagged tea. A person should add hot water to either and then drink it immediately or allow it to cool first.

how to stop coughing home remedies

By minimizing exposure to chemicals and irritants, which are harmful to the lungs, Dr. Hanak says quitting smoking can cut down on inflammation. A cough caused by smoking can be progressive, depending on how much someone smokes and how long they have been smoking, he adds. Fenugreek seed– Fenugreek seeds have antibiotic properties and acts as an expectorant. It clears the air passage and improves the lungs’ function.

hot right now !

Also, see your doctor if symptoms get worse or you experience breathing issues. Convectional cough remedies available over the counter leave you with a dry mouth and drowsy feeling. This is because primarily, they treat the symptoms are not the root cause. On the other hand, ‘natural home remedies to get rid of persistent cough’ ease cough, kill infection and boost your immunity. Add a teaspoon of honey to warm Lemon Water and drink it to soothe a sore throat and suppress cough.

They can also reduce the length of your recovery period. If you have an irritated throat or are having night time cough, drink some warm liquids before going to bed. Chicken soup, broth, warm herbal teas or simple warm water with a spoonful of honey can be extremely effective in soothing the throat and controlling cough. If night time cough is disturbing your sleep, you can add a few extra pillows to keep the head elevated. Or you can put some blocks under the head of your bed.

Gargle with salt water.

These contain lipids that absorb toxins and pull them out of saliva. They also stop cavity-causing bacteria from sticking to the walls of your teeth. This is a natural moisturizer that also helps prevent dehydration in the throat and mouth, which can ease the symptoms of a cough. Talk to a pharmacist or doctor about the best one to try. Sometimes an OTC medicine is the best resort when other treatments aren’t seeming to do the trick. You can also try to mix it with lemon or honey, to make your own kind of cough syrup.

how to stop coughing home remedies

You can make thyme tea at home using 2 teaspoons of crushed thyme leaves and 1 cup of boiling water. Although the herb is generally considered safe, doctors don’t recommend marshmallow root and leaves for children. Children or adults who take blood thinners shouldn’t take bromelain supplements. Also, if you’re taking antibiotics, such as amoxicillin, avoid using bromelain, as it can increase the absorption of the antibiotic. This article was co-authored by Lisa Bryant, ND. Dr. Lisa Bryant is Licensed Naturopathic Physician and natural medicine expert based in Portland, Oregon. If you have an underlying lung condition, such as asthma, bronchitis or emphysema, you should let your doctor know right away when you get a cold.

About This Article

Of course, the goodness of steam during the incessant trouble of wet coughs is not unknown to mankind. It is very effective to get rid of nasal congestion. The warm air from the steam can flush out the mucus deposits. A 2018 study published in Complementary Medicine Research with over 800 participants found that both lozenges and marshmallow root extract helped treat dry coughs. Most participants saw their symptoms improve within 10 minutes of taking the extract. We have gathered a list of home remedies for cough in kids that are easy to follow and offer immediate relief.

how to stop coughing home remedies

Therefore, it is important to know how to relieve the cough that is more serious at night. Chicken soup does not need any introduction to be among one of the biggest home remedies for cough and common flu. But we will introduce chicken soup as one of the best home remedies to stop coughing.

Tips to help prevent a cold

Cough can affect more than 46% of adults with covid-19 and is less common in children. However, if you develop an underlying lung condition, you may cough mucus or phlegm. You can use raw honey or manuka honey to relieve conditions that cause a cough, like viral and bacterial infections, and allergies.

how to stop coughing home remedies

How to stop coughing and cough home remedy treatment remedies

Explained, but look closely at shutting the fan off, sitting upright, and drinking hot liquids." Exercises, which I do very easily now that I have learned to carry this out correctly. Drinking cold drinks, mainly water, is really good." This article was co-authored by Chris M. Matsko, MD and by wikiHow staff writer, Glenn Carreau. Dr. Chris M. Matsko is a retired physician based in Pittsburgh, Pennsylvania. With over 25 years of medical research experience, Dr. Matsko was awarded the Pittsburgh Cornell University Leadership Award for Excellence.

how to stop coughing home remedies

If you are among those people who are struggling to quit smoking, then you should meet with any social servant. They might be able to suggest to you some Groups where people like you are also trying to do the same. Even though we are going to talk about a few tips which you can use to stop coughing in a few seconds, if you are experiencing a cough, then do it. It can be very dangerous if you try to stop coughing in between as it can put pressure on your organs, including the heart. If you can understand these types, then you will be able to tackle them with cuffs very easily.

Get a cup of milk with honey

Allergy shots may be helpful and can reduce your sensitivity to allergens. Consider talking with a doctor about what plan is right for you. It’s also sometimes used to treat inflammation and swelling.

how to stop coughing home remedies

Not only are you inconvenienced by your cough, but others around you, such as coworkers or family, may become irritated, too. You may even get a few dirty looks from people each time you cough. Although cough is often a symptom of a cold, you may be coughing for a variety of reasons from allergens to other health-related issues. If the cough is due to an infection and excessive mucus production, expectorants are effective to control the symptoms as they can dilute the mucus.

Cough drops

Cold Medicine and Cough Syrup for Adults Cough medicine and cough syrups can be taken to relieve a cough. Some people should not take cough medicine or cough syrups, for example, those taking SSRI antidepressants, and those with high blood pressure or heart disease. Cough suppressants relieve a cough by blocking the cough reflex. Cough expectorants thins mucus, so a person can cough mucus up easier. Often, a combination of a cold and cough medicine are necessary.

how to stop coughing home remedies

Even if your cough is caused by something else, like a cold or flu, drinking plenty of fluids will ease your symptoms and help you recover faster. Women should drink about 11 cups (2.6 L) of water daily, and men should drink around 15 cups (3.5 L). Warm tea can help break up mucus in your airways and stop the cough. Herbal tea is known for its ability to soothe a cough—especially ginger tea since ginger has anti-inflammatory properties of its own. When your cough is caused by congestion and clogged sinuses, making and drinking ginger tea will break up mucus while reducing inflammation in your throat. Inhaling humidified air, whether it’s cold or warm, has been shown to work as a h0me remedy for cough because it helps to enhance the drainage of congested airways.

Home Remedies for Fluid in Ear

The root also has anti-inflammatory and antioxidant properties that are beneficial in treating a variety of conditions, he adds. Brew some ginger tea by using a teabag or pouring hot water over some fresh slices. The natural home remedies for persistent cough discussed in this article can help you to ease post-covid cough but before taking any herb, consult your physician.

how to stop coughing home remedies

Consider giving an over-the-counter cough medicine a shot, especially if you’ve already tried every other immediate cure. If you’ve been coughing up mucus, use an expectorant to help expel it from your airways. Otherwise, use an antitussive, which will suppress the urge to cough.

Use an air purifier

You combine the dried & chopped licorice root with the cold water into a saucepan. Applying this solution is helpful for your breathing as well as alleviates other cough symptoms. You combine 2 tbsp of the lemon juice and 1 tbsp of honey to make a simple cough syrup. Grape works as an expectorant that helps release the mucus from affected parts of the respiratory system.

A warm cup of spiced tea is a great way to get rid of a bad cough, naturally. Add 1/2 teaspoon ginger powder, a pinch of cinnamon and some cloves. They can help determine what’s causing your symptoms and help find the best treatment for your cough. Add a dash of black pepper and some honey for sweetness. Consuming turmeric with black pepper can make it more effective. That’s because piperine, the major compound in black pepper, increases the bioavailability of turmeric.

When to see a doctor for your cough

There are fewer things more annoying than not being able to stop a cough. Whether you have a persistent cough throughout the day or are coughing at night, you’re in desperate need of knowing how to stop a cough. Not only is a constant cough annoying, but your body can start to feel tired, and your patience may wear thin. Before knowing the steps of how to stop coughing at night, it is better to have an understanding of why night time cough happens.

how to stop coughing home remedies

Bromelain’s penetration into the blood and sinonasal mucosa in patients with chronic rhinosinusitis. Anti-inflammatory and anti-oxidative effects of Phytohustil®and root extract ofAlthaea officinalisL. Healthline has strict sourcing guidelines and relies on peer-reviewed studies, academic research institutions, and medical associations. Wash your hands frequently, for 20 seconds at a time, especially after coughing, eating, going to the bathroom, or caring for someone who’s sick. Cover your nose and mouth whenever you cough or sneeze, preferably by using a tissue or coughing into your elbow.

Medical Treatments for Stopping Coughing at Night

The second most common type of cough is a dry cough. It can be caused by several things such as cold, flu, allergies, acid reflux, etc. The most common reason for dry cough is cigarettes or secondhand smoke. Time and again ginger has come to our rescue as one of the best home remedies for cold and cough. As Ginger has strong anti-inflammatory properties (eg – shoagol & gingerol), it can effectively soothe the inflamed membranes in the throat.

how to stop coughing home remedies

The best treatment for a cough will depend on its underlying cause. A number of home remedies may help, such as honey and saltwater gargles. If home remedies do not help, over-the-counter and prescription medications are available.

Peppermint

Also, natural remedies do not guarantee safety for everyone. People should call 911 or go to the nearest emergency department if a cough brings up blood or causes breathing difficulties. Supplements containing Lactobacillus and other probiotics are available at health stores and drug stores. Probiotics do not directly relieve a cough, but they may boost the immune system by balancing the bacteria in the gut. They also noted that people experienced few side effects using the drops.

Wednesday, December 9, 2020

About Publication 936, Home Mortgage Interest Deduction Internal Revenue Service

Kristen uses 300 square feet of their home for a qualified business use. Lindsey uses 200 square feet of their home for a separate qualified business use. In addition to the portion that they do not share, Kristen and Lindsey can both claim 50 of the 100 square feet or divide the 100 square feet between them in any reasonable manner. If divided evenly, Kristen could claim 250 square feet using the simplified method and Lindsey could claim 150 square feet. If you share your home with someone else who uses the home to conduct business that also qualifies for this deduction, you may not include the same square feet to figure your deduction as the other person.

Following the financial crisis of 2008, policymakers began to question whether the HMID should be allowed to reduce costs for homeowners if it subsidizes riskier loans. This shift made changes to the HMID viable for 2017 tax reform. Deductibility of home equity interest depends on what the home equity loan was used for. If the home equity loan was used to improve the taxpayer’s home, the interest is still deductible, subject to the limits discussed in the previous section. On the other hand, if the home equity loan was used to cover personal expenses, it is no longer deductible. Figure the average balance for the current year of each mortgage you took out on all qualified homes after October 13, 1987, and prior to December 16, 2017, to buy, build, or substantially improve the home .

How the Mortgage Interest Tax Deduction is Changing in 2018

This is less than her deduction limit , so she can deduct the entire amount. She follows the instructions to complete the rest of Part II and enters $1,756 on lines 34 and 36. Mortgages taken by single filers or married couple filing separately after October 13, 1987, and before December 16, 2017 qualify for a deduction up to $1,000,000 or $500,000 each for married couples filing separately. The mortgages must have been used to build, buy, or improve the home to qualify for the deduction.

The total of the mortgage balances for the entire year is within the limits discussed earlier under Home Acquisition Debt. You can deduct all of the interest you paid during the year on mortgages secured by your main home or second home in either of the following two situations. If the debt before refinancing was like a balloon note (the principal on the debt wasn't amortized over the term of the debt), then you treat the refinanced debt as grandfathered debt for the term of the first refinancing. Repairs that maintain your home in good condition, such as repainting your home, aren't substantial improvements. However, if you paint your home as part of a renovation that substantially improves your qualified home, you can include the painting costs in the cost of the improvements. The cost of building or substantially improving a qualified home includes the costs to acquire real property and building materials, fees for architects and design plans, and required building permits.

The Largest Deductions Taken by High-Income Households

Your home office will qualify as your principal place of business if you meet the following requirements. If you need information on deductions for renting out your property, see Pub. If your loan is from before Oct. 14, 1987 it’s considered “grandfathered” debt and is subject to no limits nor rules about how the funds were used.

home mortgage interest deduction 2018

Therefore, the interest is fully deductible as a business expense . Additionally, the higher limit applies to acquisition indebtedness incurred after December 15, 2017 if the proceeds were used to refinance existing acquisition indebtedness . For the tax year ending December 2017, interest paid on a home mortgage may be taken as an itemized deduction on Schedule A of Form 1040.

Permanent Build Back Better Act Would Likely Require Large Tax Increases on the Middle Class

If you used the proceeds of the mortgages on line 12 for more than one activity, then you can allocate the interest on line 16 among the activities in any manner you select . A mixed-use mortgage is a loan that consists of more than one of the three categories of debt . For example, a mortgage you took out during the year is a mixed-use mortgage if you used its proceeds partly to refinance a mortgage that you took out in an earlier year to buy your home and partly to buy a car . If you receive a Form 1098 from the cooperative housing corporation, the form should show only the amount you can deduct.

For much of the twentieth century all consumer loan interest was deductible. This policy became expensive, especially during the 1970s’ credit card boom. As a result, the personal interest deduction provisions were scrutinized in the 1980s. Currently, the home mortgage interest deduction allows itemizing homeowners to deduct mortgage interest paid on up to $750,000 worth of principal, on either their first or second residence. This limitation was introduced by the Tax Cuts and Jobs Act and will revert to $1 million after 2025.

She conducts administrative or management activities there and she has no other fixed location where she conducts substantial administrative or management activities. The fact that she conducts some administrative or management activities in her hotel room does not disqualify her home office from being her principal place of business. She meets all the qualifications, including principal place of business, so she can deduct expenses for the business use of her home. The purpose of this publication is to provide information on figuring and claiming the deduction for business use of your home. The term “home” includes a house, apartment, condominium, mobile home, boat, or similar property which provides basic living accommodations. It also includes structures on the property, such as an unattached garage, studio, barn, or greenhouse.

home mortgage interest deduction 2018

In general, you will deduct the business portion of these expenses on Schedule C or Schedule F as part of your deduction for business use of your home. If you itemize your deductions, you will deduct the personal portion of these expenses on Schedule A . You do not have to use a particular method of recordkeeping, but you must keep records that provide the information needed to figure your deductions for the business use of your home. You should keep canceled checks, receipts, and other evidence of expenses you paid. You can use either the standard meal and snack rates or actual costs to calculate the deductible cost of food provided to eligible children in the family daycare for any particular tax year. If you choose to use the standard meal and snack rates for a particular tax year, you must use the rates for all your deductible food costs for eligible children during that tax year.

Should I deduct my mortgage interest?

The allowable interest deduction for home equity indebtedness may be added to the allowable interest deduction for acquisition indebtedness even if the acquisition indebtedness exceeds the $1,000,000 limitation. Simply stated, the maximum allowable indebtedness is $1,100,000 ($550,000 married filing separately) after combining the acquisition indebtedness and the home equity indebtedness. Home mortgage interest taken as an itemized deduction will be limited in 2018 through 2025. Only the interest paid or accrued on acquisition debt will be eligible for the deduction in those years.

home mortgage interest deduction 2018

Include the average balance for the current year for any home acquisition debt part of a mixed-use mortgage. Generally, you can deduct the home mortgage interest and points reported to you on Form 1098 on Schedule A , line 8a. If you paid more deductible interest to the financial institution than the amount shown on Form 1098, show the portion of the deductible interest that was omitted from Form 1098 on line 8b. Attach a statement to your paper return explaining the difference and print “See attached” next to line 8b.

Under the loan agreement, Sharon must make principal payments of $1,000 at the end of each month. During 2022, her principal payments on the second mortgage totaled $10,000. If you receive a refund of interest in the same tax year you paid it, you must reduce your interest expense by the amount refunded to you.

The following two rules describe how to allocate the interest on line 16 to a business or investment activity. 535 for an explanation of how to determine the use of loan proceeds. Multiply the amount in item 1 by the decimal amount on line 14. Enter the result on Schedule A , line 8a or 8c, whichever applies.

Changes to California Mortgage Interest Deduction Limit in 2018

If your home office is a separate structure, in connection with one or more of your trades or businesses. Pamela is a self-employed sales representative for several different product lines. She has an office in her home that she uses exclusively and regularly to set up appointments and write up orders and other reports for the companies whose products she sells. She occasionally writes up orders and sets up appointments from her hotel room when she is away on business overnight. You have suitable space to conduct administrative or management activities outside your home, but choose to use your home office for those activities instead. The space you use is a separately identifiable space suitable for storage.

home mortgage interest deduction 2018

After the TCJA, home equity loans are now included within the mortgage’s principal, and interest is only deductible if used to build or improve a qualifying residence. In 2022, Bill refinanced that mortgage with a 15-year $100,000 mortgage loan. Two points ($2,000) were for prepaid interest, and one point ($1,000) was charged for services, in place of amounts that are ordinarily stated separately on the settlement statement. Bill paid the points out of his private funds, rather than out of the proceeds of the new loan.

How Does LendingTree Get Paid?

Since the room was available for business use during regular operating hours each business day and was used regularly in the business, it is considered used for daycare throughout each business day. The basement and room are 60% of the total area of her home. In figuring her expenses, 34.25% of any direct expenses for the basement and room are deductible.

home mortgage interest deduction 2018

The basis for depreciation of property changed from personal to business use is the lesser of the following. He multiplies $1,975 by 14.29% (0.1429) to get his MACRS depreciation deduction of $282.23. After you have determined the cost of the depreciable property and whether it is 5-year or 7-year property, use the table, shown next, to figure your depreciation if the half-year convention applies. To meet the adequate records requirement, you must maintain an account book, diary, log, statement of expense, trip sheet, or similar record or other documentary evidence that is sufficient to establish business/investment use. If your business use of listed property is 50% or less, you cannot take a section 179 deduction and you must depreciate the property using the Alternative Depreciation System . You do not have to reduce the gain by any depreciation you deducted for a separate structure for which you cannot exclude the allocable portion of the gain.

Standard Deductions

Form 8829 and the Worksheet To Figure the Deduction for Business Use of Your Home have separate columns for direct and indirect expenses. If your housing is provided free of charge and the value of the housing is tax exempt, you cannot deduct the rental value of any portion of the housing. June Quill, a self-employed attorney, works 3 days a week in her city office. She works 2 days a week in her home office used only for business.

home mortgage interest deduction 2018

However, some of these popular deductions have been slightly modified, and in unfavorable ways for taxpayers. If you used the same area for your qualified business use for the entire year, complete only Part I; otherwise, skip Part I and complete Part II using lines 1 through 5 to help you figure the amount to enter for each month. All amounts reported on this worksheet must be in square feet.Part I. Same area was used for the entire year.1.Area used for this qualified business use1._____2.Shared use. Complete line 2 if someone else also used the home to conduct business that qualifies for the deduction; otherwise, enter 300 on line 2d and go to line 3.a.Area not shared.

What is the mortgage interest deduction?

To do so, you must have e-filed your original 2019 or 2020 return. Go to IRS.gov/Forms to view, download, or print all of the forms, instructions, and publications you may need. The IRS is committed to serving our multilingual customers by offering OPI services. The OPI service is a federally funded program and is available at Taxpayer Assistance Centers , other IRS offices, and every VITA/TCE return site. The Tax Withholding Estimator (IRS.gov/W4app) makes it easier for everyone to pay the correct amount of tax during the year. The tool is a convenient, online way to check and tailor your withholding.

home mortgage interest deduction 2018

As a result, homeowners are always looking for a break when it comes to property taxes, mortgage interest, and other tax-related deductions. The bad news is that some of these deductions are getting smaller. In terms of popularity, an October 2017 opinion poll by Economist/YouGov found some people are unwilling to see the mortgage interest deduction go, even for an increase in the standard deduction. About 41 percent of all surveyed said they opposed eliminating the MID if Congress were to increase the standard deduction; that opposition rose to 66 percent among homeowners who itemize their taxes. Many homeowners will be blissfully unaffected by the TCJA’s new limits on deducting home mortgage interest.

Assuming that the investment needed a 6 percent after-tax return in order to break even and satisfy investors, the investment’s rate of return needed to increase by 50 percent to cover the tax. The TCJA reduced the amount of principal available for the HMID from $1 million to $750,000. This increased the tax burden on owner-occupied housing, particularly for debt-financed homes. These limitations bias the tax code toward equity-financed homeownership and increase the tax burden on owner-occupied housing overall. Though the HMID is often viewed as a policy that increases the incidence of homeownership, research suggests the HMID does not accomplish this goal. There is, however, evidence that the HMID increases housing costs by increasing demand for housing among itemizing taxpayers.

Sally owns her home and has a mortgage principal remaining of $100,000, meaning she has $100,000 left to pay off. She makes annual mortgage payment of $6,080 at an interest rate of 4.5%. You were divorced or separated and you or your ex has to pay the mortgage on a home you both own .

Tax Bill Impact on Homeowners & Mortgage Interest Deduction

In most cases, the allowable area is the smaller of the actual area of your home used in conducting the business and 300 square feet. You can use the Area Adjustment Worksheet , near the end of this publication, to help you figure your allowable area for a qualified business use. If you are a partner or you use your home in your farming business and file Schedule F , you can use the Simplified Method Worksheet, near the end of this publication, to help you figure your deduction.

After the passage of TRA86 the deductibility of personal interest was reduced to 65% and home mortgage interest remained. For the purposes of the mortgage interest deduction, a "qualified residence" means the taxpayer's primary residence or second home . When you figure your itemized deduction for state and local taxes on Schedule A, only include the personal portion of your real estate taxes on line 5b of Schedule A.

Eligible mortgage interest can be taken on a primary residence and one other secondary residence. A primary or secondary residence is defined as any house, vacation home not rented out during the year, condominium, Co-op, mobile home, trailer, or boat. Now, in prior years, this has allowed millions of people to deduct their mortgage interest. However, the Tax Cuts and Jobs Act nearly doubled the standard deduction, and as a result, fewer people will be able to use the deduction. If you and another person both used the home to conduct business that qualifies for the deduction, the same area cannot be used by both persons to figure the deduction. On line 32, total all allowable business use of the home deductions.

home mortgage interest deduction 2018

Home acquisition debt is a mortgage you took out after October 13, 1987, to buy, build, or substantially improve a qualified home . Receives at least 80% of its gross income for the year in which the mortgage interest is paid or incurred from tenant-stockholders. For this purpose, gross income is all income received during the entire year, including amounts received before the corporation changed to cooperative ownership. When you took out a $100,000 mortgage loan to buy your home in December, you were charged one point ($1,000). You meet all the tests for deducting points in the year paid, except the only funds you provided were a $750 down payment. Of the $1,000 charged for points, you can deduct $750 in the year paid.

Homeowners who bought houses after Dec. 15, 2017, can deduct interest on the first $750,000 of the mortgage. Claiming the mortgage interest deduction requires itemizing on your tax return. Under the new tax law, the average American will no longer be able to deduct moving expenses from their tax returns. In years past, if you met certain criteria regarding distance moved and total costs of your move, you could deduct those expenses from your income. Now, only active duty service and military members can deduct moving expenses. Policymakers could improve economic efficiency by making the tax burden on owner-occupied housing closer to the tax burden placed on other capital assets, either by eliminating the deduction or by removing capital from the tax base.

home mortgage interest deduction 2018

Average Mortgage BalanceAverage of first and last balance method. Therefore, refinancing a mortgage that was incurred prior to December 15, 2017 will generally not impact the limitation amount . If you put less than 20% down when buying your home, you most likely have to pay private mortgage insurance, or PMI.

Kava Bar Drink Love

Table Of Content TRY OUR TEA DRINKS IN PERSON OUR COFFEE OUR SPECIALTY DRINKS Kava in Los Angeles: Where to Find the Best Kava Bars and Even...